Esophageal cancer (ec) is an extremely aggressive, lethal malignancy that is increasing in incidence worldwide. Esophageal cancer (ec) is an extremely aggressive, lethal malignancy that is increasing in incidence worldwide.
Local control can be achieved with higher brachytherapy.
Radiation therapy for esophagus cancer. The standard of care for esophageal cancer is chemotherapy and radiation together followed by surgical evaluation. If the cancer is in the part of the esophagus near the stomach, chemo without radiation may be given before surgery. With external radiation, the patient lies on a table while a radiation therapist directs precisely controlled energy waves directly at the tumor.
The machine used in external beam therapy is called a linear accelerator. The upper thoracic esophagus extends from the thoracic inlet to the inferior border of the azygous vein. Radiation therapy for esophageal cancer.
When exposed to radiation, cancerous cells sustain permanent dna damage, which prevents them from spreading throughout the body or causes them to die. For esophageal cancer patients, our team of doctors. Radiation therapy for esophageal cancer.
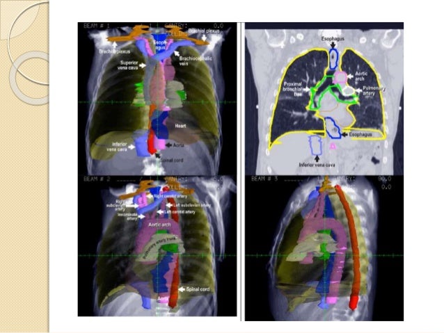
Side effects lung and trachea heart esophagus spinal cord radiation to the lung and trachea can lead to coughing, or shorteness of breath, if the esophagus cancer is invading into the trachea there is a risk of a fistula (te fistula) stomach structures affected by radiation long terms risks are related to scarring or fibrosis in the lung which. However, a large portion of. Since that time, telecobalt has been utilized in these cases.
Local control can be achieved with higher brachytherapy. The authors examine the role of radiation therapy alone (external beam and brachytherapy) for the management of esophageal cancer or combined with other modalities. The cervical esophagus extends from the upper esophageal sphincter to the thoracic inlet.
Compared clinical responses following 50.4 gy in 28 fractions and 60 gy in 30 fractions as a definite radiation dose based on the comprehensive registry of esophageal cancer in japan. Radiotherapy is an essential therapy for the patients with inoperable and locally advanced esophageal cancer (shridhar et al., 2013). We are skilled in providing targeted radiation therapy to save healthy tissue and improve our patients’ recovery times.
The safest, most effective approach: There are several ways radiation therapy can be used to treat esophageal cancer. The second type is brachytherapy, which incorporates an.
Our radiation oncologists at johns hopkins treat more esophageal cancer patients than any other center in our region. Memorial sloan kettering has been a leader in improving radiation therapy for esophageal cancer. A variety of clinical and dosimetric parameters have been associated with acute and late toxicity.
The course of radiation is five days a week, for five and half weeks. Using the latest technology, we can precisely target tumors and minimize damage to nearby healthy tissue. At present, definitive chemoradiotherapy is accepted as the standard treatment for locally advanced ec.
We have developed tools to deliver. It is often combined with chemotherapy , which makes the radiation more effective, in an approach called chemoradiation. The impact on staging and appropriate stratification of patients referred for curative vs palliative intent with modalities is reviewed.
Radiation therapy can be an integral part of the treatment of esophageal cancer. The impact on staging and appropriate stratification of patients referred for curative vs palliative intent with modalities is reviewed. Esophageal cancer develops in the mucosa of the esophagus and spreads toward the muscle layer.
Radiation therapy is usually combined with chemotherapy and surgery to treat patients with esophageal cancer and is often used for patients who are not candidates for surgery. If lab tests after chemoradiation and surgery show that some cancer may have been left behind, treatment with an immunotherapy drug such as. Nyu langone doctors may use radiation therapy, in which energy beams are used to destroy cancer cells in a noninvasive manner, to treat esophageal cancer.
Option for inoperable patients diagnosed with local esophageal cancer. In this volume, nemoto et al. Esophageal cancer (ec) is an extremely aggressive, lethal malignancy that is increasing in incidence worldwide.
Hdr brachytherapy may be a useful salvage treatment. Radiation treatments can also be used to help patients manage their esophageal cancer. The ec guidelines recommend a radiation dose of 50.4 gy for definitive treatment, yet the outcomes for patients who have received.
The nonsurgical treatment for localized, deeply invasive esophageal cancer has been external beam radiation therapy (ebrt) and concurrent chemotherapy. Our radiation oncologists have years of experience safely and effectively treating esophageal cancer with radiation. The middle thoracic esophagus extends from.
The authors examine the role of radiation therapy alone (external beam and brachytherapy) for the management of esophageal cancer or combined with other modalities. Memorial sloan kettering has been a leader in improving radiation therapy for esophageal cancer. The esophagus is divided into four regions by the ajcc.
The main type of radiation therapy used in esophageal cancer treatment is external beam therapy. Until 1956 orthovoltage roentgen rays were the only radiation modality available for this disease.