Current status of proton therapy techniques for lung cancer. But then i came to md anderson for a second opinion after surgery, and scans done there revealed an enlarged lymph node in my chest that nobody else had noticed.
Patients treated with proton therapy may have increased tolerance for chemotherapy.
Proton therapy lung cancer. Proton therapy for lung cancer is now considered a treatment option for patients whose cancer is limited to the chest. This is the first time this type of radiotherapy has been used for lung cancer treatment in switzerland. Using proton technology’s advanced image guidance and ability to precisely target tumors in the lungs, our specialists can deliver powerful radiation dosages with optimal accuracy, sparing critical nearby structures, such as the esophagus, lung, heart and spinal cord.
And because proton therapy may cause fewer side effects, future trials could also explore whether combining proton therapy with chemotherapy might be more tolerable for patients, the authors wrote. It can also be used to treat cancers that are close to important structures in the body. In lung cancer, where the difference in electron density between the soft tissue of the chest and mediastinum and the lung is significant, range uncertainty due to uncertainties in the.
Accordingly, proton radiation therapy should help minimize the extent and severity of pulmonary injury and so could benefit patients with localized lung cancer and severe underlying pulmonary disease, while simultaneously permitting an increased dose to the primary tumor. It delivers a higher dose of radiation to a very precise, targeted treatment area in the lungs, resulting in higher success rates, fewer side effects, and the ability to protect healthy lung tissue. Proton therapy enables physicians to treat lung cancer while minimizing the risk to surrounding healthy tissues and organs.
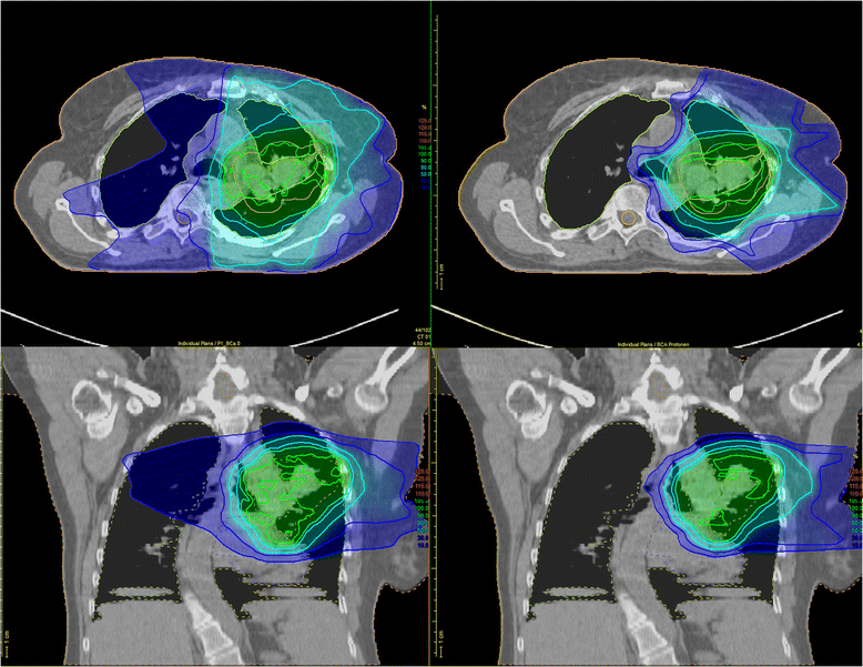
Proton beam therapy is a type of external beam radiotherapy. Proton therapy can be a valuable form of radiation treatment for many patients with lung cancer. Proton therapy has been shown to offer a significant dosimetric advantage in nsclc patients over photon therapy, with a decrease.
Proton beams have been used for cancer treatment for more than 28 years, and several technological advancements have been made to achieve improved clinical outcomes by delivering more accurate and conformal doses to the target cancer cells while minimizing the dose to normal tissues. That’s where proton therapy has the advantage for many lung cancer and other thoracic cancer patients. In lung cancer, proton therapy, when compared with photon treatment, has significant dosimetric advantages, with reduced dose to normal lung, esophagus, heart and other oars.
Proton therapy is an alternative to photons in challenging thoracic cancers, particularly in cases where radiotherapy dose to critical organs such as lung or heart must be minimized. Proton therapy enables physicians to treat lung cancer while minimizing the risk to surrounding healthy tissues and organs. The precise area of delivery offered by proton beam therapy may be beneficial for brain tumors in which even small amounts of damage to nearby normal.
For example, both chemotherapy and traditional radiation for lung cancer can irritate the esophagus, making it painful and difficult for patients to. Proton therapy is a type of radiation that can be stopped at a prescribed depth in tissue, whereas conventional radiation continues beyond the tumor. Lung cancer accounts for almost 13 percent of all cancer diagnoses, with an estimated 224,390 new cases in 2016 alone.
Why i’m grateful for proton therapy. Proton therapy is one method of treatment to come out of. Protons are exquisitely sensitive to the electron density of the material through which they pass and an additional uncertainty has to be accounted for in proton radiation therapy plans.
Pencil beam scanning capabilities provide precise doses of radiation to targeted areas. Patients treated with proton therapy may have increased tolerance for chemotherapy. Proton beam therapy is only suitable for a small number of people.
Yang p et al (2018). But then i came to md anderson for a second opinion after surgery, and scans done there revealed an enlarged lymph node in my chest that nobody else had noticed. Less radiation to your heart, lung, and esophagus
Benefits of proton therapy for lung cancer. Current status of proton therapy techniques for lung cancer. Studies show some lung cancer patients can receive higher therapeutic doses with fewer radiation side effects.
Proton beam therapy allows for the safe treatment of appropriately selected thoracic tumors with. 1 physicians and scientists, including those at the northwestern medicine proton center, work tirelessly on lung cancer treatments that improve outcomes while minimizing risks and side effects. Before my lung cancer diagnosis in 2007, i didn’t know anything about proton therapy.
6 in a study by the university of texas md anderson cancer center of patients with inoperable nsclc, proton therapy reduced dose to normal lungs, esophagus, spinal cord. This unique feature of proton therapy: Proton therapy targets the lung tumor more precisely than other forms of radiotherapy, reducing excess radiation to the uninvolved lung, heart, and other mediastinal structures.
It delivers a higher dose of radiation to a very precise, targeted treatment area in the lungs, resulting in higher success rates, fewer side effects, and the ability to protect healthy lung tissue. Proton therapy is a form of radiation therapy that, for some lung cancer patients, allows for greater sparing of their organs from the effects of radiation exposure. Proton beam therapy (pbt) offers dosimetric advantages over photon sabr techniques by reducing doses to normal organs.