When the patient is diagnosed with this syndrome at an early stage, there are greater chances of recovery and better results. Therefore, any general statistics relating to prognosis must be viewed within a proper context and are best understood with the help of a treating physician.
Neuroendocrine tumors are rare neoplasms presenting complex challenges to diagnosis and treatment.
Neuroendocrine carcinoid cancer stage 4. The grade of the tumour tells you how abnormal the cells look under the microscope. The neuroendocrine tumor survival rate can vary significantly from patient to patient based on the location, type and stage of the cancer. Our aim was to clarify epidemiology, clinical presentation, diagnosti.
Some stages might be divided further with letters (a, b, etc.). The stage of a cancer tells you how big it is and whether it has spread. I am a fifteen plus survivor of pancreatic neuroendocrine diagnosed in 2003 stage 4:
Jennifer petersen, neuroendocrine tumor, stage iv. It often depends on the size and location of the disease. All he will say is, “you’re not going to have to worry about cancer.”
Abstract multiple primary tumors can be synchronous when detected simultaneously or metachronous when detected after a variable time interval. As a rule, the lower the number, the less the cancer has spread. Stage 4 is the last stage of neuroendocrine cancer.
Advanced stages have a less favorable prognosis. Surgery removed some of the tumours plus a largish chunk of small intestine that. Numerous cases are reported in literature, without a consensus on the management.
If it is possible, the surgeon must remove the. So, i know i’m never going to outmaneuver him. The majority (64 percent) of the tumor is metastatic stage 4 or at the time of diagnosis.
Neuroendocrine tumors can also be diagnosed in children and adolescents, but are clearly more common among adults and the elderly. Doctors might call this metastatic, or. Stage 4 neuroendocrine sclc is the most common net of the lung.
Through the process of elimination i was told i had pancreatic cancer stage 4, 6 months at most. They typically show 1) specific clinical symptoms and signs and a protracted course, 2) production. Post date july 6, 2020.
At this stage, it may be quite difficult to completely cure cancer. Mine are grade 1, ie. In the tnm staging, this is the same as any t, any n, m1.
However, what a strange cancer i have. My wife has been diagnosed with stage 4 pancreatic neuroendocrine cancer, it is inoperable. Neuroendocrine high grade small cell carcinoma stg.
Doctors talk about survival by stage and grade of small bowel net. It spread to parts of my stomach & lungs, i don’t have any problem breathing, just severe stomach pains that hurt 24/7 but am taking pills to mask the pain every 6 hours. The tumor is 2 cm wide or smaller and hasn’t spread to any lymph nodes.
The incidence of the syndrome is. What a strange title for a cancer blog post! I tried cap/tem in 2014/15, felt a little tired sometimes and lost appetite but generally pretty good.
It means that cancer has moved out of its site of origin and has spread far and wide, to lymph nodes and other parts of the body. Compared with other lung cancers, it. The cancer has spread to distant parts of the body.
Liver, lung, adrenal glands, bile duct, gall bladder, bones and later discovered thyroid. It can present as a benign tumor that can be cured surgically or in rare cases as a malignant tumor. One important treatment assessment is to find out whether the tumor can be completely removed by a surgeon.
This is one of the most crucial factors in predicting the prognosis of neuroendocrine tumors. The cancer is in the lung and is typically a few centimeters (cm) in size, but smaller than about 3 inches. I’m still trying to pin dr.
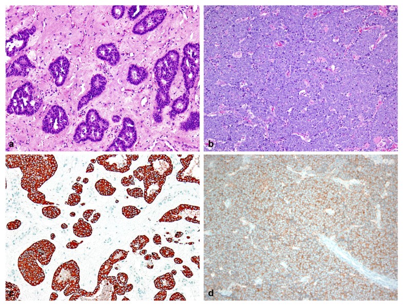
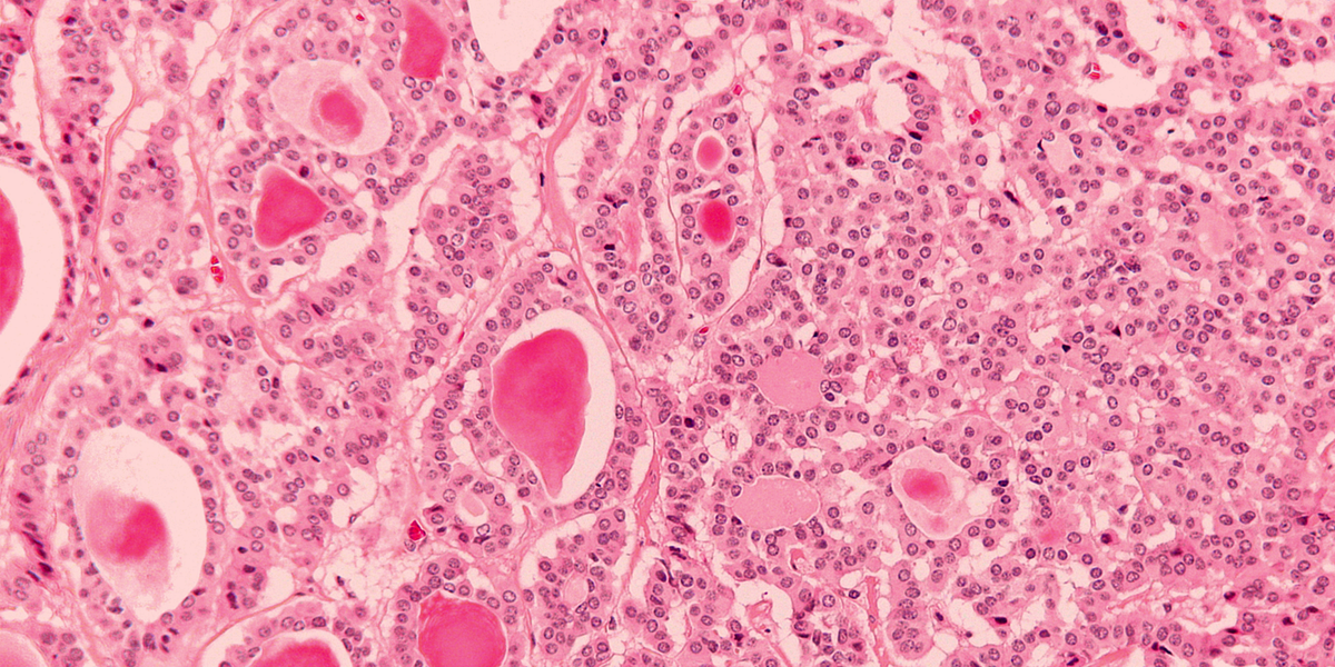
Neuroendocrine tumor, stage 4 | the patient story. In the patient with carcinoid tumor, tumor cells manufacture serotonin. When the patient is diagnosed with this syndrome at an early stage, there are greater chances of recovery and better results.
Esophageal neuroendocrine tumors (nets) are rare, aggressive and lacking specific symptoms. I was recently diagnosed with neuroendocrine high grade small cell carcinoma stg. My life after a stage iv neuroendocrine tumor diagnosis.
But he chooses his words very carefully, and he’s always three or four steps ahead of me. Stage 4 means the tumour has spread to other parts of the body such as the liver. A higher number, such as stage iv, means cancer has spread more.
Post author by stephanie chuang. Katz down in terms of life expectancy. This causes a diagnostic delay, worsening the prognosis.
It hasn�t spread into the lymph nodes. There are 4 stages of small bowel neuroendocrine tumours: The tumor is wider than 2 cm and may or may not be growing into other layers of tissue around the appendix.
It�s only in your lungs. Went to my 1st onocologist apt that day and the next day scheduled for a biopsy and an outpatient procedure for a portacat. Stage 0 (zero) and stages i through iv (1 through 4).
There are 5 stages for lung nets: Neuroendocrine tumors are rare neoplasms presenting complex challenges to diagnosis and treatment. But this is where the grade of the tumours became relevant.
Even in case of metastatic spread to the liver there are some important differences in the nature of these tumors compared to gastrointestinal and pancreatic adenocarcinomas. It hasn’t spread to any lymph nodes or distant parts of the body. Doctors often diagnose it when it has already spread.
Therefore, any general statistics relating to prognosis must be viewed within a proper context and are best understood with the help of a treating physician. Unknown site of origin, metastasis. The main stages of gi carcinoid tumors in the tnm system range from i (1) through iv (4).