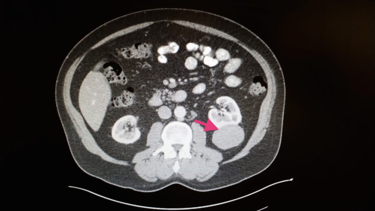
Transitional cell carcinoma, urothelial, invasive. Hi nic my partner was diagnosed with a kidney cancer that is 23cm stemming from left kidney.
My biopsy even showed i had grade 3 renal carcinoma but thankfully i was still in stage 1 (<= 7cm and hasn’t spread) as stage is more important than grade for renal carcinoma.
Kidney cancer diagnosis stories. He is awaiting a surgery date the surgeons can’t tell us exactly what other organs are involved till they open him up as the tumour is too big and is pushing everything around. Here we share with you the stories of our patients, their smile, words or. I was in shock when the specialist said i had kidney cancer.
The most important thingone can do is to learn about this disease and enlist the help of an experienced team of physicians. Fortunately, with effective treatment and carful nursing in st. Many others have been where you are.
Transitional cell carcinoma, urothelial, invasive. Later on and recognising the power of facebook, […] She very quickly joined the kidney cancer support network website forum to connect with other patients and find out as much as possible about kidney cancer.
When she entered the er for the very first time, the admitting doctor recommended she be seen by a rheumatologist or a. Sharing patient stories helps us to expand our knowledge and build a larger community of hope. Barbara muchow is a kidney cancer survivor.
You’ve just received a kidney cancer diagnosis, and you’re probably feeling overwhelmed and scared. The determination to press on after a kidney cancer diagnosis. I am 50yr old male, and in november of 2017, i decided it.
Kidney cancer advocacy looking back, peggy learned that her diagnosis had been delayed due to mismanaged medical records and information. Stamford modern cancer hospital guangzhou, they fight against cancer bravely and now regain their confidence of life. They are all tortured by cancer.
Kidney cancer can develop in adults and children. A cancer diagnosis is stressful, but fortunately, city of hope can help. Diagnosis is often followed by a number of mixed emotions from fear to anger and disbelief, therefore, you can find it useful to share your experience of kidney cancer and ask for advice or support from those in a similar position.
Fatigue (tiredness) loss of appetite. Some possible signs and symptoms of kidney cancer include: Many of you visit our forum in order to find similar kidney cancer stories and cases.
Kevin shares his transitional cell carcinoma kidney cancer story and undergoing surgery, as well as the path to recovery. Within a month, kayla was diagnosed with kidney cancer. Blood in the urine (hematuria) low back pain on one side (not caused by injury) a mass (lump) on the side or lower back.
Fever that is not caused by an infection and that doesn’t go away. Hi everyone, i wanted to introduce myself, so i can help and offer information and encouragement to people affected by this terrible affliction. Kidney cancer patient stories they come from different countries but have similar experience;
See stories from people who have had cancer or are living with a cancer diagnosis. The main types of kidney cancer are renal cell (cancer forms on the outside or cortex of the kidney) and urothelial cancer (cancer forms in kidney lining). Realize that you have already been living with kidney cancer for some time, even though it was just discovered.
6 may 2020 22:21 in response to nic.r. Kidney cancer more often affects people who are older. She was 38 years old in april 2015 when she noticed blood in her urine.
To tell my cancer story i have to tell about my best friend of 40 years, dorothy. A nurse, she diagnosed herself with a kidney stone. Kidney cancer patient stories in order to extend patients’ life time, let them see the hope and love in life, we contribute to offering patients the most effective treatment and excellent service.
He was in stage 4 kidney cancer. Now, she urges people to follow their instincts and see a doctor if something doesn’t feel right. Hear from our survivors on how they overcame kidney cancer.
If the renal carcinoma hasn’t spread and is just in the kidney than you have great potential for a positive outcome no matter how large it is. There, specialists in urology, oncology, neurosurgery and other areas collaborated on a multidisciplinary approach that helped craig regain his health. After waking up one night to searing abdominal pain and night sweats, he received an ultrasound and ct scan that revealed a large mass on his kidney that spread to his lungs.
I was booked in for surgery about three weeks after the initial diagnosis, but within a week i couldn’t pass urine and ended up back in emergency, where i stayed until my surgery. When she later began having pain in her lower right side, she was even more certain she had a stone. Hi nic my partner was diagnosed with a kidney cancer that is 23cm stemming from left kidney.
Kayla’s daughter jane was born in june 2020, just a month before kayla received a kidney cancer diagnosis. Nearly 400,000 americans are now living with a diagnosis of kidney cancer and more than 60,000 people are expected to be diagnosed with kidney cancer this year, according to the national cancer institute. My biopsy even showed i had grade 3 renal carcinoma but thankfully i was still in stage 1 (<= 7cm and hasn’t spread) as stage is more important than grade for renal carcinoma.
You can also order a physical copy of this booklet on be.macmillan.org.uk. After the surgery, i was in quite a bit of pain and discomfort, and had lots of trouble going to the toilet. Actually, dorothy, her husband bob and my husband and i were all best.
Clinical trial shows stereotactic radiation extends systemic therapy and slows kidney cancer progression. He finally received a diagnosis. Sarah was diagnosed with a rare type of kidney cancer (papillary renal cell carcinoma) in 2009 at the age of 32.
About 1/3 of kidney cancers are diagnosed after the disease has spread to other organs. I’m 26 years old, and was diagnosed with stage iv kidney cancer in november 2017. She shares a beautiful story of friendship and loss and how it led to an early diagnosis of kidney cancer.
1 in 2 people in the uk will get cancer during their life time. Weight loss not caused by dieting. The average age at diagnosis is 64.
I was diagnosed with kidney cancer in the summer of 2007, when i was just 46 years old. A booklet explaining kidney (renal) cancer, covering the causes and symptoms, diagnosis, staging and grading, treatments and clinical trials. We understand the anxiety that a diagnosis of kidney cancer can bring to the patient and their family.
He remained without a clear diagnosis after months of tests and doctor visits.