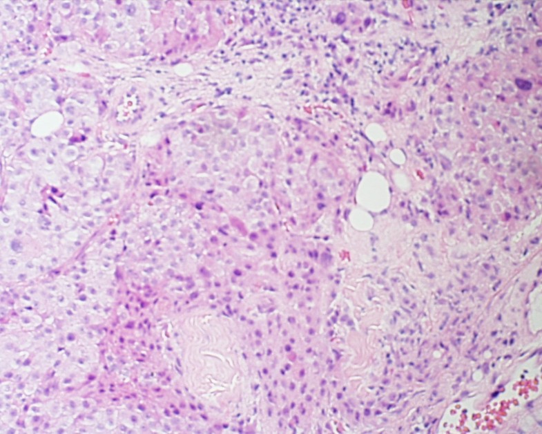
Surgery to remove the thyroid gland is the most common treatment. Hurthle cell neoplasms originate in thyroid follicles from follicular cells (hence they were initially grouped with follicular thyroid tumors) and are characterized by the presence of hurthle cells, which are eosinophilic oxyphilic cells with round to oval nuclei with prominent nucleoli, and small densely packed mitochondria giving a granular appearance to the otherwise.
During thyroidectomy, the surgeon removes all or nearly all of the thyroid gland and leaves tiny edges of thyroid tissue near small adjacent glands (parathyroid glands) to lessen the chance of injuring them.
Hurthle cell thyroid cancer treatment. During thyroidectomy, the surgeon removes all or nearly all of the thyroid gland and leaves tiny edges of thyroid tissue near small adjacent glands (parathyroid glands) to lessen the chance of injuring them. There are three main parts to the treatment of follicular and hurthle cell cancer: The best treatment for thyroid cancer is almost always total thyroidectomy (i.e.
Aside from thyroid removal surgery, radioactive iodine therapy is the most common treatment method used in hurthle cell cancer patients. For the next two years i did the low iodine diet and uptake scan, and i was clean. Although total thyroidectomy is generally considered the treatment of choice for hürthle cell carcinoma, a lobectomy is usually performed first;
Thyroid hurthle cell carcinoma (hcc) is a rare disease with high risk of invasion and metastasis and poor prognosis. Hurthle cell carcinoma of the thyroid gland: The decision to undertake partial versus total thyroid removal depends on several factors, including the size and location of the tumor, as well as your individual medical situation.
Although rare, it is quite aggressive in nature and requires surgical removal of the gland as the first line of treatment. The oncocytic follicular cells of the thyroid continue to carry the name “hürthle cells”, even though the cells that karl hürthle initially identified in 1894 ultimately proved to be the parafollicular c cells (hürthle 1894). Hurthle cell neoplasms originate in thyroid follicles from follicular cells (hence they were initially grouped with follicular thyroid tumors) and are characterized by the presence of hurthle cells, which are eosinophilic oxyphilic cells with round to oval nuclei with prominent nucleoli, and small densely packed mitochondria giving a granular appearance to the otherwise.
Article cas pubmed google scholar 7. Fortunately, patients with follicular and hurthle cell cancer rarely need chemotherapy or traditional external beam radiation therapy. Hurthle cell cancer patients must be taken off of levothyroxine thyroid hormone (t4 hormone) for a minimum of four weeks, taken off of liothyrionine thyroid hormone (t3 hormone) for a minimum of two weeks, or receive a medication which is tsh (which is a pharmaceutical production of the thyroid stimulating hormone [tsh] produced as a recombinant protein.
The clinical characteristics, prognosis and treatment of hcc are still controversial, and clinical data are still limited to some case reports. Unilateral hurthle cell adenoma can be treated by lobectomy/isthmusectomy, and hurthle cell carcinoma can be treated by total thyroidectomy with minimal operative morbidity. Ad coverage on the biomarker ntrk from every angle.
Hurthle cell cancer is one of several types of cancers that affect the thyroid. A partial thyroidectomy can be an appropriate treatment for hurthle cell thyroid cancer in some cases. The following year my doctor let me skip the scan because my tsh levels had been undetectable.
During thyroidectomy, the surgeon removes all or nearly all of the thyroid gland and leaves tiny edges of thyroid tissue near small adjacent glands (parathyroid glands) to lessen the chance of injuring them. The treatment for hurthle cell thyroid cancer may be decided based on different factors including the stage and extent of spread of the cancer, cancer characteristics, symptoms, patient’s general health and medical history, whether the cancer can be removed completely by surgery and whether the cancer was just diagnosed or had come back. For most individuals, the best and the often the only course of treatment is surgical removal of the entire thyroid gland and associated lymph nodes.
Hurthle cell cancer typically classifies as a rare and aggressive form of follicular thyroid cancer. Hürthle cell cytology, genotype, and clinical behavior. Hurthle cell cancer is also called hurthle cell carcinoma or oxyphilic cell carcinoma.
1 they are large, polygonal cells with marked eosinophilic, granular cytoplasm reflective of overly. Invasive hurthle cell carcinoma of the thyroid: Removal of the entire thyroid).
Hurthle cell thyroid cancer is a rare type of follicular cancer. The decision to undertake partial versus total thyroid removal depends on several factors. Latest news, reports from the medical literature, videos from the experts, and more.
Therefore, understanding the characteristics and survival factors of hcc is clinically necessary. Efforts should be made to stimulate additional research in this field. It secretes hormones that are essential for regulating the body’s metabolism.
If histologic sections show hürthle cell carcinoma, as evidenced by vascular and/or capsular invasion, then a complete thyroidectomy is performed in a second surgery. I had a total thyroidectomy, then the rai treatment. Surgery to remove the thyroid gland is the most common treatment.
What is hurthle cell thyroid cancer? Also known as hurthle cell carcinoma or oxyphilic cell carcinoma, it is one of the several types of cancers affecting the thyroid gland. A tumor of moderate malignancy.
A partial thyroidectomy can be an appropriate treatment for hurthle cell thyroid cancer in some cases. Hurthle cell cancer can be more aggressive than other types of thyroid cancer. I was then diagnosed with thyroid cancer.
Latest news, reports from the medical literature, videos from the experts, and more. Also called hurthle cell carcinoma or oxyphilic cell carcinoma, it accounts for only 3 to 5 percent of all thyroid cancer cases, according to the. And some of the drugs approved to treat them, as well as new drugs currently being tested for thyroid cancer treatment, have been
Ad coverage on the biomarker ntrk from every angle. It is greatly favored due to its minimal effects on the rest of the body.